Dental Implants
Dental implants are primarily constructed of titanium, which is compatible with the human body. An implant is a surgical fixture that looks like a screw that is inserted into the jawbone to replace a missing tooth. A crown is placed on this screw to look and function like the natural tooth’s crown. Dental implant treatment costs are slightly more expensive than other types of procedures for fixed teeth. The cost of a single-tooth implant in India varies depending on the type of implant, service provider, and so on. At Dental Experts, you get your comfort back when it comes to your pretty smile and chewing any type of food without restrictions with the reliable and painless and dental implant services in Delhi.
 
															Nothing beats the natural beauty of your teeth. People lose their teeth due to a number of factors such as decay, trauma, gum disease, bone disease, and so on.
To eat, chew, and communicate, we need teeth. Dentures, crowns and bridges, and  implants are all alternatives for replacing a lost tooth in dentistry.  Missing teeth are the foremost reason for bringing dental implants into existence. They have probably influenced the course of dentistry during the last quarter-century.
dental implants
 
															A dental implant surgery is structured in such a particular manner that it fixes perfectly in the jaw of the patient and makes them feel comfortable in the best possible manner. A dental implant consists of the following parts which are confined togetherly to form this perfectly useful component.
CROWN
A crown is nothing but a tooth-shaped cap that is placed over an existing tooth to make the existing one even more strong. It is capable of repairing a fractured tooth. A dental implant is a surgical implant that replaces a missing tooth and is topped with a crown to make it seem and function like a natural tooth. A crown is merely a replacement for the visible top section of the tooth, rather than a root replacement alternative. A crown is also known as a “cap” because it works as a cap to cover the tooth. Crowns are held in position by being attached to the remaining teeth surrounding the gap, which frequently means that a minuscule space remains.
ABUTMENT
The abutment is a little piece of metal that connects the implant post to the prosthetic. One side is intended to screw into the inside of the implant post, while the other is intended to hold a dental prosthetic. Depending on the type of prosthetic that needs to be supported, numerous types of abutments may be employed. A dental crown, for example, may resemble a stumpy screw, whereas an abutment used for an implant-supported denture may have unique attachments that clip into the denture. Some abutments can also be angled to ensure a natural appearance once the prosthetic is installed.
SCREW
The dental implant surgery procedure employs miniature screw-shaped prostheses to secure artificial teeth for both dental restorations and individual tooth replacement. The dental screw is the device that secures the abutment to the implant. This fastener is threaded and is normally tightened until it reaches its ultimate seating position. There are mechanical and electrical torque measurement devices available that will indicate the magnitude of the torque applied to the screw.
FIXTURE
The fixture, also known as an implant post, is a tiny, cylindrical screw that is inserted into the jawbone to serve as an artificial tooth root. Because the fixture is intended to simulate the function of genuine tooth roots, it is tapered at the base, just like a normal tooth root. Because of its biocompatibility, titanium is often used to make implant posts. In certain situations, they are additionally covered with hydroxyapatite, which aids in the integration of the implant post with the surrounding bone. Dental implants are the only option for replacing lost teeth that have a component that works like natural tooth roots. After inserting the implant post into the jawbone, it will fuse with the surrounding bone in a process known as osseointegration. Oncethe implant post has bonded, it will behave almost identically like a natural tooth root, providing for natural chewing function and look.
Procedure: dental implant surgery
Tooth implants consist of multiple phases that must be completed over a period of 3 to 9 months for dental implant operations. Before treatment is complete, you may require the assistance of numerous dental professionals, including a periodontist and an oral surgeon. It mainly consists of the following stages.
1. Treatment planning and diagnosis
The initial stage will be an examination of your teeth, gums, and jawbone. Determining if you have enough healthy jawbone to support the implant is a critical element of this first evaluation. If your jawbone is too thin or delicate, a bone transplant or other operation may be recommended before proceeding with the dental implant procedure. Periodontal disease must also be absent from your gums.
2. Implant placement
Modern dentistry procedures have made it feasible to make the implant installation operation painless and pleasant. This is a small surgical operation performed in the dental clinic under local anesthetic.
3. The phase of recovery
The jawbone will develop and fuse with the surface of the dental implant throughout this procedure. This procedure is also known as osseointegration because it provides a strong foundation for the new artificial tooth, just like roots provide for natural teeth. This procedure typically takes 3 to 6 months, depending on bone health and shape. When patients have adequate bone structure, the entire treatment can be finished in one day. The second operation can then be scheduled, but only after the implants have merged with the bone. Your dentists will do an x-ray to determine whether the implant is suitable for the second procedure.
 
															4. Abutment Placement
The dental implant is accompanied by a metal extender known as an abutment. This can be done either during the first operation or during a subsequent small surgery under local anesthesia. Abutments are utilized to attach the implant to the replacement tooth. If an abutment is inserted during a subsequent operation, the surgeon may be required to create an opening if gum tissue has developed over the implant. This is due to the fact that a healing cap is placed over the implant after it has been inserted. While this is normally used to preserve the implant, it also inhibits tissue from developing over it.
5. Placing the tooth
Once your teeth have healed, your dentist will take an imprint of them so that your potential replacement tooth or teeth may be custom-made to fit. These might be permanent or removable. If you choose a detachable tooth, it will be linked to the abutment through a metal frame. This sort of tooth may be cleaned at home on a daily basis. If you choose a fixed tooth, it will be glued or screwed into place on the abutment. Your replacement teeth will seem and feel completely natural. They must be cared for by brushing and flossing on a daily basis. To clean them, no additional products are required. You may treat them in the same manner as you would your natural teeth. Make an appointment with our implantologist for frequent checks and make your smile stay healthy with painless dental implant surgery.
Benefits of Dental Implant
Get the best dental implant treatment in Delhi with Dental Experts and have a smile you can flawlessly carry anywhere around the globe. A few of the advantages of tooth implants are mentioned below:
- Dental implant surgery serves to replace missing teeth and is the closest thing to real teeth.
- Implants are a long-lasting remedy that may even outlive the sufferer.
- Dental implants assist to retain the form and contour of the face and smile, which can deteriorate as a result of missing teeth, causing the facial muscles to droop.
- Implants cause no injury to the neighboring tooth structure and protecthealthy bone.
- Implants provide greater look and comfort while eliminating the need to cope with speech issues.
- Implants increase your self-esteem since they are a superb replacement for a lost tooth.
- Implants allow you to eat your favorite foods without restriction.
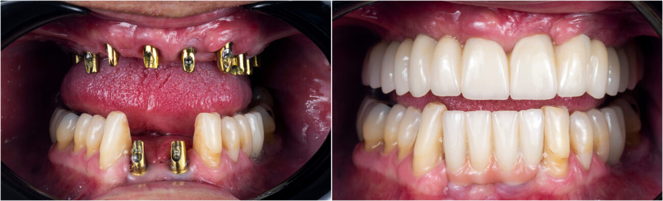
FIXED TEETH IN A WEEK
 
															Using immediate implants, we can give you a complete new set of teeth in a week! No more waiting, no more long duration without teeth.
Immediate implant loading
Immediate implant loading requires functional occlusal loading of an implant within 48 hours of its insertion. In contrast to conventional loading, immediate loading considerably reduces the waiting period between implant insertion and loading, as well as the number of visits to the dentist. The assumption is that an initial primary stability can be achieved in the old bone and will change over time into secondary stability in new and osseointegrated bone.
Procedure or Steps Involved in Basal Implantation
- 
                                            The dentist will first analyze and determine the bone quality in which implants to be placed. Then, the dentist will predict the treatment outcome with the help of mock-ups.
- 
                                            After administration of anesthesia, the dentist will place the implants in the thick cortical bone. The number of basal implants is decided and implanted based on the amount and quality of bone present. After that, the implants are secured in place.
- 
                                            The dentist takes the impression of the jaw along with the implants and fabricates the prosthesis. Then, the dentist will lock it with the basal implants using screws and adjust it to give the perfect natural feel.
Who can go for basal implants?
		- 
                                            Anyone who has an edentulous location with little bone and needs a prosthesis right away is a good candidate for basal implants.
- 
                                            Basal implants are suitable for people of all ages. It is usually determined by an individual’s oral and systemic health.
FAQ'S
Dental implants are known to endure a very long time, especially when properly cared for. They can endure for up to 25 years. You can get the best dental implant surgery in Delhi done with our professional experts at the Smile box.
Dental implants have emerged as the most promising option for replacing lost teeth. If most or all of your teeth are missing, treatments such as all-on-four and all-on-six can help you acquire complete mouth dental implants with 4 or 6 titanium posts on your jaw bone.
The patient will experience little or no discomfort when receiving dental implants from a skilled implantologist . A local anesthetic is administered as part of the implant preparation so the patient does not experience any pain. At SmileBox, this is the least of your worry. Believe when we say that it is not going to be an unpleasant experience. All our expert implantologists have handled 100s of patients successfully and we ensure that while being skillful, they are empathetic as well
Smile Box provides the highest level of care with competitive implant costs in Delhi. We make certain that our patients get the most out of their dental implant investment. Smile Box Clinics also purchases solely from world class manufacturers, ensuring authenticity and quality. Call us today to know the honest prices for replacement of missing teeth.
 
								